exponenta event banner

getRegion

Считайте произвольную область большого изображения

Описание

пример

data = getRegion(bigimg,level,regionStartWorld,regionEndWorld) читает большие данные изображения в bigimg на заданном уровне разрешения. Функция возвращает все пиксели, степени которых затрагивают или лежат в границах прямоугольной области, заданной regionStartWorld и regionEndWorld, включительно.

Примеры

свернуть все

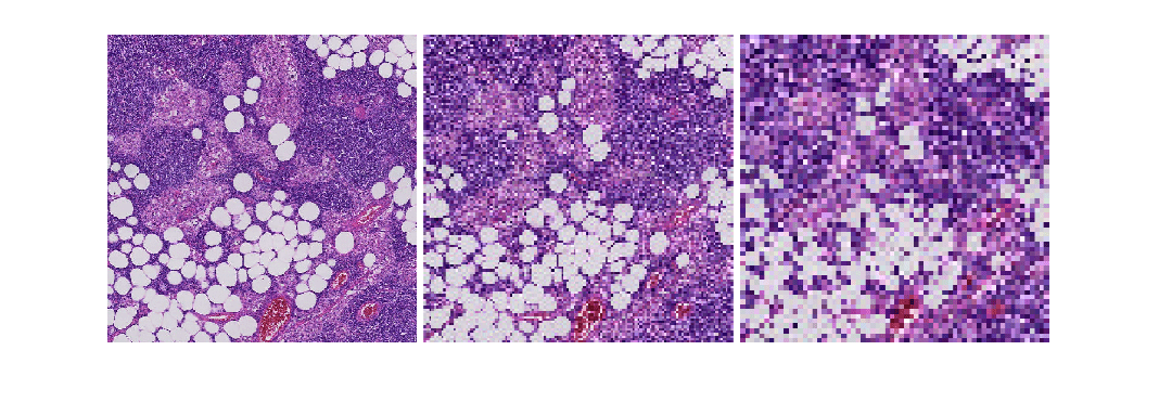
Создайте bigimage использование модифицированной версии изображения "tumor_091.tif" от набора данных CAMELYON16. Оригинальное изображение является учебным изображением лимфатического узла, содержащего ткань опухоли. Оригинальное изображение имеет восемь уровней разрешения, и самый прекрасный уровень имеет разрешение 53760 61440. Модифицированное изображение имеет только три крупных уровня разрешения. Пространственная ссылка модифицированного изображения была настроена, чтобы осуществить сопоставимое соотношение сторон и указать функции на каждом уровне.

bim = bigimage('tumor_091R.tif');

Отобразите целый bigimage на самом прекрасном уровне разрешения.

bshow = bigimageshow(bim);

Figure contains an axes. The axes contains an object of type bigimageshow.

Задайте прямоугольную область путем определения запуска и окончания координат в горизонтальном и вертикальном направлении относительно самого прекрасного уровня разрешения.

xyStart = [2100,1800];
xyEnd = [2600,2300];

Получите область bigimage на каждом уровне разрешения.

imL1 = getRegion(bim,1,xyStart,xyEnd);
imL2 = getRegion(bim,2,xyStart,xyEnd);
imL3 = getRegion(bim,3,xyStart,xyEnd);

Отобразите эти три области в монтаже. Самый прекрасный уровень разрешения слева, и самый грубый уровень разрешения справа.

montage({imL1,imL2,imL3},'Size',[1 3], ...
    'BorderSize',5,'BackgroundColor','w');

Figure contains an axes. The axes contains an object of type image.

Входные параметры

свернуть все

Большое изображение в виде a bigimage объект.

Уровень разрешения в виде положительного целого числа, которое меньше чем или равно количеству уровней разрешения bigimg.

Верхние левые координаты прямоугольной области, чтобы считать в виде 1 2 числового вектора из формы [x y]. Местоположение задано в мировых координатах, которые являются пиксельными местоположениями относительно уровня с самым высоким разрешением.

Нижние правые координаты прямоугольной области, чтобы считать в виде 1 2 числового вектора из формы [x y]. Местоположение задано в мировых координатах, которые являются пиксельными местоположениями относительно уровня с самым высоким разрешением.

Выходные аргументы

свернуть все

Пиксельные данные, возвращенные как числовой массив совпадающего типа данных как большое изображение, bigimgclassUnderlying.

Смотрите также

| |

Введенный в R2019b