data = gather(bim) возвращает изображение в рабочей области, сформированной путем сборки всех блоков blockedImage, bim. По умолчанию, gather собирает блоки из самого грубого уровня (уровень с наименьшим количеством объема данных).
data = gather(bim,'Level',L) возвращает массив, сформированный путем сборки всех блоков из заданного уровня разрешения L.
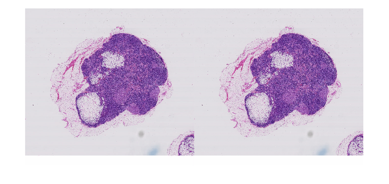
Создайте блокированное изображение с помощью модифицированной версии изображения "tumor_091.tif" от набора данных CAMELYON16. Оригинальное изображение является учебным изображением лимфатического узла, содержащего ткань опухоли. Оригинальное изображение имеет восемь уровней разрешения, и самый прекрасный уровень имеет разрешение 53760 61440. Модифицированное изображение имеет только три уровня разрешения. Пространственная ссылка модифицированного изображения была настроена, чтобы осуществить сопоставимое соотношение сторон и указать функции на каждом уровне.
bim = blockedImage('tumor_091R.tif');
Используйте gather извлекать самый грубый уровень разрешения. По умолчанию, gather возвращает самый грубый уровень
level_coarsest = gather(bim);
Используйте gather извлекать самый прекрасный уровень разрешения. Необходимо задать уровень разрешения. Самый прекрасный уровень разрешения всегда нумеруется 1.
level_finest = gather(bim, "Level", 1);
Отобразите самый грубый уровень разрешения и самый прекрасный уровень разрешения рядом друг с другом.
1. Если смысл перевода понятен, то лучше оставьте как есть и не придирайтесь к словам, синонимам и тому подобному. О вкусах не спорим.
2. Не дополняйте перевод комментариями “от себя”. В исправлении не должно появляться дополнительных смыслов и комментариев, отсутствующих в оригинале. Такие правки не получится интегрировать в алгоритме автоматического перевода.
3. Сохраняйте структуру оригинального текста - например, не разбивайте одно предложение на два.
4. Не имеет смысла однотипное исправление перевода какого-то термина во всех предложениях. Исправляйте только в одном месте. Когда Вашу правку одобрят, это исправление будет алгоритмически распространено и на другие части документации.
5. По иным вопросам, например если надо исправить заблокированное для перевода слово, обратитесь к редакторам через форму технической поддержки.