exponenta event banner

montage

Отобразите системы координат повторного изображения как прямоугольный монтаж

Описание

пример

montage(I) отображения все системы координат матрицы изображений сверхкадра I. По умолчанию, montage функционируйте располагает изображения так, чтобы они примерно сформировали квадрат.

montage(imagelist) отображает монтаж изображений, заданных в массиве ячеек imagelist. Изображения могут иметь различные типы и размеры.

пример

montage(filenames) отображает монтаж изображений с именами файлов, заданными в filenames.

пример

montage(imds) отображает монтаж изображений, заданных в datastore изображений imds.

montage(___,map) обработки все полутоновые и бинарные изображения (заданное использование любого из предыдущих синтаксисов) как индексированные изображения и отображают их с заданной палитрой map. Если вы задаете изображения с помощью имен файлов или datastore изображений, то map переопределения любая внутренняя палитра, существующая в файлах изображений. montage не изменяет палитру изображений RGB.

пример

montage(___,Name,Value) аргументы пары "имя-значение" использования, чтобы настроить отображение монтажа изображений.

img = montage(___) возвращает указатель на единый объект изображения, который содержит все отображенные системы координат.

Примеры

свернуть все

Создайте m n 4 изображениями сверхкадра от ряда полутоновых изображений. Изображения должны все быть одного размера.

img1 = imread('AT3_1m4_01.tif');
img2 = imread('AT3_1m4_02.tif');
img3 = imread('AT3_1m4_03.tif');
img4 = imread('AT3_1m4_04.tif');
multi = cat(3,img1,img2,img3,img4);

Отобразите монтаж изображений в изображении сверхкадра.

montage(multi);

Figure contains an axes object. The axes object contains an object of type image.

Считайте несколько изображений различных типов и размеров в рабочую область.

imRGB = imread('peppers.png');
imGray = imread('coins.png');

Отобразите монтаж, содержащий все изображения.

figure
montage({imRGB, imGray, 'cameraman.tif'})

Figure contains an axes object. The axes object contains an object of type image.

Создайте монтаж из серии изображений в файлах. Сделайте монтаж 2 5 прямоугольник. Затем создайте второй монтаж, на этот раз с помощью 'DisplayRange' аргумент значения имени, чтобы подсветить структуры в изображении.

Отобразите изображения как прямоугольный монтаж

Создайте массив строк, содержащий серию имен файлов.

fileFolder = fullfile(matlabroot,'toolbox','images','imdata');
dirOutput = dir(fullfile(fileFolder,'AT3_1m4_*.tif'));
fileNames = string({dirOutput.name});

Отобразите изображения как монтаж. Задайте форму монтажа как 2 5 прямоугольник.

montage(fileNames,'Size',[2 5]);

Figure contains an axes object. The axes object contains an object of type image.

Настройте Контраст Изображений в Монтаже

На другом рисунке создайте то же самое 2 5 монтаж. Кроме того, укажите диапазон отображения, чтобы настроить контраст изображений в монтаже.

figure 
montage(fileNames,'Size',[2 5],'DisplayRange',[75 200]);

Figure contains an axes object. The axes object contains an object of type image.

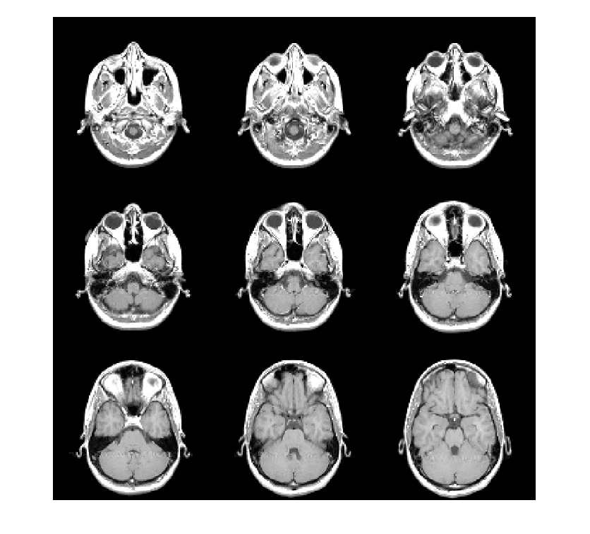
Просмотрите все изображения в наборе данных MRI с помощью монтажа с настройками по умолчанию. В наборе существует 27 изображений.

load mri
montage(D, map)

Figure contains an axes object. The axes object contains an object of type image.

Создайте новый монтаж, содержащий только первые 9 изображений.

figure
montage(D, map, 'Indices', 1:9);

Figure contains an axes object. The axes object contains an object of type image.

Создайте ImageDatastore объект, содержащий серию десяти изображений от выборки Image Processing Toolbox™, отображает папку.

fileFolder = fullfile(matlabroot,'toolbox','images','imdata');
imds = imageDatastore(fullfile(fileFolder,'AT3*'));

Отобразите содержимое datastore как монтаж.

montage(imds)

Figure contains an axes object. The axes object contains an object of type image.

Входные параметры

свернуть все

Матрица изображений сверхкадра в виде одного из следующего:

  • m-by-n-by-k числовой массив, представляющий последовательность k бинарные или полутоновые изображения

  • m-by-n-by-1-by-k числовой массив, представляющий последовательность k бинарные или полутоновые изображения

  • m-by-n-by-3-by-k числовой массив, представляющий последовательность изображений истинного цвета k

Типы данных: single | double | int16 | uint8 | uint16 | logical

Набор изображений в виде массива ячеек числовых матриц размера m-by-n или m-by-n-by-3.

Типы данных: single | double | int16 | uint8 | uint16 | logical | cell

Имена файлов, содержащих изображение в виде массива ячеек из символьных векторов или вектора из строк. Если файлы не находятся в текущей папке или в папке на MATLAB® путь, затем задайте имя полного пути. Для получения дополнительной информации смотрите imread.

Типы данных: char | string | cell

Отобразите datastore в виде ImageDatastore объект.

Палитра в виде c-by-3 числовая матрица со значениями в области значений [0, 1]. Каждой строкой является трехэлементный триплет RGB, который задает красные, зеленые, и синие компоненты одного цвета палитры.

Типы данных: double

Аргументы name-value

Задайте дополнительные разделенные запятой пары Name,Value аргументы. Name имя аргумента и Value соответствующее значение. Name должен появиться в кавычках. Вы можете задать несколько аргументов в виде пар имен и значений в любом порядке, например: Name1, Value1, ..., NameN, ValueN.

Пример: 'Indices',1:9 создает монтаж первых девяти систем координат

Цвет фона в виде заданного как триплет RGB, название цвета или короткое название цвета. montage функционируйте заполняет все пробелы цветом фона, включая пробел, заданный BorderSize. Если вы задаете цвет фона, то montage функционируйте представляет выход как изображение RGB.

Можно задать любой цвет с помощью триплета RGB. Триплет RGB является вектором-строкой с 3 элементами, элементы которого задают интенсивность красных, зеленых, и синих компонентов цвета. Интенсивность должна быть в области значений [0,1].

Можно задать некоторые простые цвета по наименованию как строковый скаляр или вектор символов. Эта таблица приводит опции именованного цвета и эквивалентные триплеты RGB.

Название цветаКраткое названиеТриплет RGBВнешний вид
'red''r'[1 0 0]

A rectangle colored pure red

'green''g'[0 1 0]

A rectangle colored pure green

'blue''b'[0 0 1]

A rectangle colored pure blue

'cyan' 'c'[0 1 1]

A rectangle colored pure cyan

'magenta''m'[1 0 1]

A rectangle colored pure magenta

'yellow''y'[1 1 0]

A rectangle colored pure yellow

'black''k'[0 0 0]

A rectangle colored black

'white''w'[1 1 1]

A rectangle colored white

Вот триплеты RGB для цветов по умолчанию, которые MATLAB использует во многих типах графиков.

Триплет RGBВнешний вид
[0 0.4470 0.7410]

A rectangle colored medium blue

[0.8500 0.3250 0.0980]

A rectangle colored reddish-orange

[0.9290 0.6940 0.1250]

A rectangle colored dark yellow

[0.4940 0.1840 0.5560]

A rectangle colored dark purple

[0.4660 0.6740 0.1880]

A rectangle colored light green

[0.3010 0.7450 0.9330]

A rectangle colored light blue

[0.6350 0.0780 0.1840]

A rectangle colored dark red

Пример: 'BackgroundColor','r'

Пример: 'BackgroundColor','green'

Пример: 'BackgroundColor',[0 0.4470 0.7410]

Дополнение вокруг каждого изображения миниатюр, в пикселях в виде неотрицательного целого числа или вектора 1 на 2 неотрицательных целых чисел. montage функционируйте заполняет цвета границы изображения цветом фона, BackgroundColor.

Типы данных: single | double | int8 | int16 | int32 | int64 | uint8 | uint16 | uint32 | uint64

Отобразите область значений полутоновых изображений в массиве IВ виде вектора 1 на 2 формы [low high] . Все пиксельные значения, меньше чем или равные low, отображаются как черные. Все пиксельные значения, больше, чем или равный high, отображаются как белые. Если вы задаете пустую матрицу ([]то montage использует минимальные и максимальные пиксельные значения изображений.

Типы данных: single | double | int8 | int16 | int32 | int64 | uint8 | uint16 | uint32 | uint64

Системы координат, чтобы отобразиться в монтаже в виде массива положительных целых чисел. montage функция интерпретирует значения как индексы в массив I или в массив ячеек filenames или imagelist.

По умолчанию, montage функционируйте отображает все системы координат или файлы изображений.

Пример: 'Indices',1:4 создайте монтаж первых четырех систем координат в I

Пример: 'Indices',1:2:20 отображает любую систему координат.

Типы данных: single | double | int8 | int16 | int32 | int64 | uint8 | uint16 | uint32 | uint64

Метод интерполяции, используемый при масштабировании изображения в виде разделенной запятой пары, состоящей из 'Interpolation' и одно из этих значений.

ЗначениеОписание
'nearest'Самая близкая соседняя интерполяция (значение по умолчанию)
'bilinear'Билинейная интерполяция

Родительский элемент объекта изображения, созданного montageВ виде объекта осей. montage функция изменяет размер изображения, чтобы соответствовать степеням, доступным в родительских осях.

Количество строк и столбцов изображений в виде вектора с 2 элементами из формы [nrows ncols].

Если вы задаете NaN или Inf для конкретной размерности, затем montage функция вычисляет значение размерности, чтобы отобразить все изображения в монтаже. Например, если 'Size' [2 NaN], затем монтаж будет иметь две строки и минимальное количество столбцов, чтобы отобразить все изображения. Когда существует несоответствие между 'Size' и количество изображений заданные (системы координат), затем montage функция создает мозаичное изображение на основе 'Size'.

Типы данных: single | double

Размер каждой миниатюры, в пикселях в виде вектора с 2 элементами из положительных целых чисел. Соотношение сторон каждого изображения сохраняется, и любой пробел заполнен цветом фона, BackgroundColor.

Если вы задаете пустой массив ([]), затем размер миниатюры является полным размером первого изображения. Если вы указываете любой элемент как NaN или Inf, затем montage функция вычисляет соответствующее значение автоматически, чтобы сохранить соотношение сторон первого изображения.

Типы данных: single | double

Выходные аргументы

свернуть все

Изображение монтажа, возвращенное как Объект изображения.

Советы

  • Если вы задаете индексируемое изображение, то montage преобразует его в RGB с помощью палитры, существующей в файле.

  • Если существует неверный тип данных между изображениями, то montage функция преобразует все изображения в тип данных double использование im2double функция.

  • При вычислении количества изображений, чтобы отобразиться горизонтально и вертикально, montage рассматривает соотношение сторон изображений, так, чтобы отображенный монтаж был почти квадратным.

Смотрите также

Приложения

Функции

Представлено до R2006a