exponenta event banner

imhistmatchn

Настройте гистограмму изображения N-D, чтобы совпадать с гистограммой ссылочного изображения

Описание

пример

B = imhistmatchn(A,ref) преобразовывает полутоновое изображение N-D A и возвращает выходное изображение B чья гистограмма приблизительно совпадает с гистограммой ссылочного изображения ref. Оба A и ref должны быть полутоновые изображения, но у них не должно быть совпадающего типа данных, размера или количества размерностей.

B = imhistmatchn(A,ref,nbins) использование nbins равномерно распределенные интервалы в соответствующей области значений для данного типа данных image. Возвращенное изображение B имеет не больше, чем nbins дискретные уровни.

Если тип данных изображения:

  • single или double, область значений гистограммы [0, 1].

  • uint8, область значений гистограммы [0, 255].

  • uint16, область значений гистограммы [0, 65535].

  • int16, область значений гистограммы [-32768, 32767].

[B,hgram] = imhistmatchn(___) возвращает гистограмму ссылочного изображения ref используемый для соответствия в hgram. hgram 1 nbins вектор, где nbins количество интервалов гистограммы.

Примеры

свернуть все

Загрузите полутоновое изображение N-D в рабочую область. Также загрузите полутоновое изображение, чтобы обеспечить ссылочную гистограмму.

load mri D
load mristack

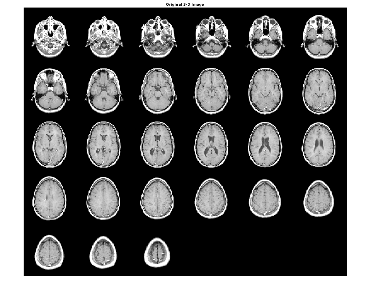
Отобразите исходный объем как срезы.

figure
montage(D,'DisplayRange',[])
title('Original 3-D Image')

Figure contains an axes object. The axes object with title Original 3-D Image contains an object of type image.

Измените ссылку как стек полутоновых срезов для отображения.

ref = reshape(mristack,[256,256,1,21]);

Отобразите ссылочный объем как срезы. Чтобы отобразиться правильно на экране, ссылочный объем уменьшается на коэффициент 0,5 использований imresize.

ref_downsized = imresize(ref,0.5);
figure
montage(ref_downsized,'DisplayRange',[])
title('Reference 3-D Image')

Figure contains an axes object. The axes object with title Reference 3-D Image contains an object of type image.

Совпадайте с гистограммой D к гистограмме полноразмерного ref.

Dmatched = imhistmatchn(D,ref);

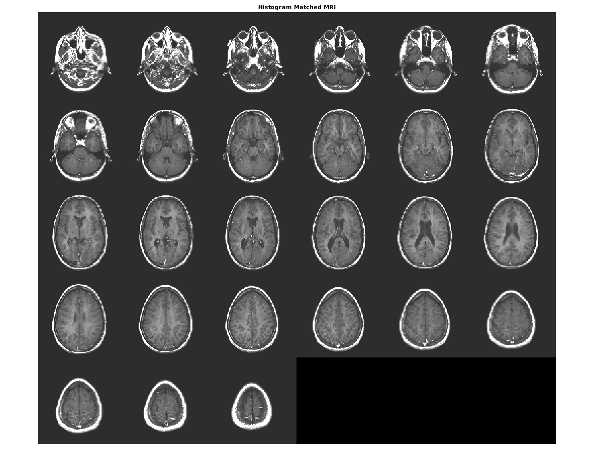
Отобразите вывод. Заметьте, что уровни яркости выхода более тесно совпадают со ссылочным изображением, чем оригинальное изображение.

figure
montage(Dmatched,'DisplayRange',[])
title('Histogram Matched MRI')

Figure contains an axes object. The axes object with title Histogram Matched MRI contains an object of type image.

Входные параметры

свернуть все

Введите изображение, которое будет преобразовано в виде полутонового изображения N-D.

Типы данных: single | double | int16 | uint8 | uint16

Ссылочное изображение, гистограмма которого является ссылочной гистограммой в виде полутонового изображения. Ссылочное изображение обеспечивает равномерно распределенный nbins гистограмма ссылки интервала, который выходное изображение B попытка состоит в том, чтобы соответствовать.

Типы данных: single | double | int16 | uint8 | uint16

Количество равномерно распределенных интервалов в ссылочной гистограмме в виде положительного целого числа. nbins также представляет верхний предел количества уровней дискретных данных, существующих в выходном изображении B.

Типы данных: double

Выходные аргументы

свернуть все

Выходное изображение, возвращенное как полутоновое изображение N-D. Выходное изображение выведено из изображения A чья гистограмма является аппроксимированным соответствием к гистограмме входного изображения ref созданный с nbins равномерно распределенные интервалы. Отобразите B одного размера и тип данных как входное изображение A. Входной параметр nbins представляет верхний предел количества дискретных уровней, содержавшихся в изображении B.

Типы данных: single | double | int16 | uint8 | uint16

Количества гистограммы вывели из ссылочного изображения ref, возвращенный как 1 nbins вектор.

Типы данных: double

Смотрите также

| | |

Введенный в R2017a