exponenta event banner

imhistmatchn

Настройте гистограмму изображения N-D, чтобы совпадать с гистограммой ссылочного изображения

Описание

пример

B = imhistmatchn(A,ref) преобразовывает полутоновое изображение N-D A и возвращает выходное изображение B чья гистограмма приблизительно совпадает с гистограммой ссылочного изображения ref. Оба A и ref должны быть полутоновые изображения, но у них не должно быть совпадающего типа данных, размера или количества размерностей.

B = imhistmatchn(A,ref,nbins) использование nbins равномерно распределенные интервалы в соответствующей области значений для данного типа данных image. Возвращенное изображение B имеет не больше, чем nbins дискретные уровни.

Если тип данных изображения:

  • single или double, область значений гистограммы [0, 1].

  • uint8, область значений гистограммы [0, 255].

  • uint16, область значений гистограммы [0, 65535].

  • int16, область значений гистограммы [-32768, 32767].

[B,hgram] = imhistmatchn(___) возвращает гистограмму ссылочного изображения ref используемый для соответствия в hgram. hgram 1 nbins вектор, где nbins количество интервалов гистограммы.

Примеры

свернуть все

Загрузите полутоновое изображение N-D в рабочую область. Также загрузите полутоновое изображение, чтобы обеспечить ссылочную гистограмму.

load mri D
load mristack

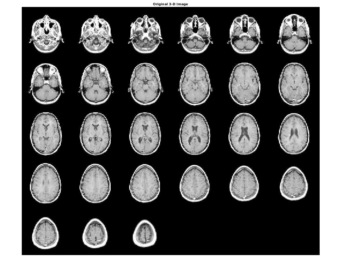
Отобразите исходный объем как срезы.

figure
montage(D,'DisplayRange',[])
title('Original 3-D Image')

Измените ссылку как стек полутоновых срезов для отображения.

ref = reshape(mristack,[256,256,1,21]);

Отобразите ссылочный объем как срезы. Чтобы отобразиться правильно на экране, ссылочный объем уменьшается на коэффициент 0,5 использований imresize.

ref_downsized = imresize(ref,0.5);
figure
montage(ref_downsized,'DisplayRange',[])
title('Reference 3-D Image')

Совпадайте с гистограммой D к гистограмме полноразмерного ref.

Dmatched = imhistmatchn(D,ref);

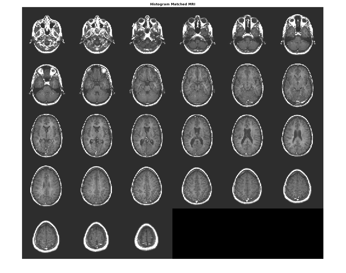
Отобразите вывод. Заметьте, что уровни яркости выхода более тесно совпадают со ссылочным изображением, чем оригинальное изображение.

figure
montage(Dmatched,'DisplayRange',[])
title('Histogram Matched MRI')

Входные параметры

свернуть все

Введите изображение, которое будет преобразовано в виде полутонового изображения N-D.

Типы данных: single | double | int16 | uint8 | uint16

Ссылочное изображение, гистограмма которого является ссылочной гистограммой в виде полутонового изображения. Ссылочное изображение обеспечивает равномерно распределенный nbins гистограмма ссылки интервала, который выходное изображение B попытка состоит в том, чтобы соответствовать.

Типы данных: single | double | int16 | uint8 | uint16

Количество равномерно распределенных интервалов в ссылочной гистограмме в виде положительного целого числа. nbins также представляет верхний предел количества уровней дискретных данных, существующих в выходном изображении B.

Типы данных: double

Выходные аргументы

свернуть все

Выходное изображение, возвращенное как полутоновое изображение N-D. Выходное изображение выведено из изображения A чья гистограмма является аппроксимированным соответствием к гистограмме входного изображения ref созданный с nbins равномерно распределенные интервалы. Отобразите B одного размера и тип данных как входное изображение A. Входной параметр nbins представляет верхний предел количества дискретных уровней, содержавшихся в изображении B.

Типы данных: single | double | int16 | uint8 | uint16

Количества гистограммы вывели из ссылочного изображения ref, возвращенный как 1 nbins вектор.

Типы данных: double

Смотрите также

| | |

Введенный в R2017a