exponenta event banner

imgaussfilt3

3-D Гауссову фильтрацию 3-D изображений

Описание

пример

B = imgaussfilt3(A) фильтры 3-D изображения A с 3-D Гауссовым сглаживающим ядром со стандартным отклонением 0,5 и возвращает отфильтрованное изображение в B.

B = imgaussfilt3(A,sigma) фильтры 3-D изображения A с 3-D Гауссовым сглаживающим ядром со стандартным отклонением, заданным sigma.

B = imgaussfilt3(___,Name,Value) использует аргументы пары "имя-значение" для управления аспектами фильтрации.

Примеры

свернуть все

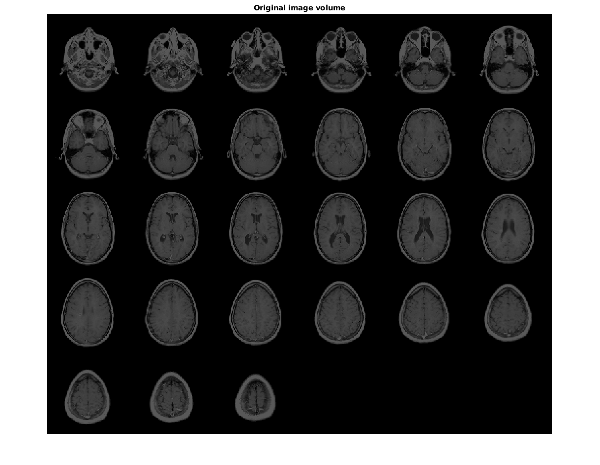
Загрузите данные МРТ и отобразите их.

vol = load('mri');
figure
montage(vol.D)
title('Original image volume')

Figure contains an axes. The axes with title Original image volume contains an object of type image.

Сглаживайте изображение с помощью 3-D Гауссова фильтра.

siz = vol.siz;
vol = squeeze(vol.D);   
sigma = 2;
 
volSmooth = imgaussfilt3(vol, sigma);
  
figure
montage(reshape(volSmooth,siz(1),siz(2),1,siz(3)))
title('Gaussian filtered image volume')

Figure contains an axes. The axes with title Gaussian filtered image volume contains an object of type image.

Входные параметры

свернуть все

Фильтруемое изображение, заданное как 3-D числовой массив.

Типы данных: single | double | int8 | uint8 | int16 | uint16 | int32 | uint32

Стандартное отклонение Гауссова распределения, заданное как положительное число или 3-элементный вектор положительных чисел. Если sigma является скаляром, тогда imgaussfilt3 использует кубическое Гауссово ядро.

Типы данных: single | double | int8 | int16 | int32 | int64 | uint8 | uint16 | uint32 | uint64

Аргументы в виде пар имя-значение

Задайте необязательные разделенные разделенными запятой парами Name,Value аргументы. Name - имя аргумента и Value - соответствующее значение. Name должны находиться внутри кавычек. Можно задать несколько аргументов в виде пар имен и значений в любом порядке Name1,Value1,...,NameN,ValueN.

Пример: volSmooth = imgaussfilt3(vol,sigma,'padding','circular');

Размер Гауссова фильтра, заданный как скалярный или 3-элементный вектор положительных, нечетных, целых чисел. Если вы задаете скаляр, то imgaussfilt3 использует кубический фильтр. Размер фильтра по умолчанию является 2 * ceil (2 * sigma)+1.

Пример: volSmooth = imgaussfilt3(vol,sigma,'FilterSize',5);

Типы данных: single | double | int8 | int16 | int32 | int64 | uint8 | uint16 | uint32 | uint64

Заполнение изображений, заданное как одно из следующих.

ЗначениеОписание
числовой скалярДополните изображение элементами постоянного значения.
'circular'

Прокладка с циклическим повторением элементов внутри размерности.

'replicate'

Дополните путем повторения элементов границы массива.

'symmetric'

Изображение дополнения с зеркальными отражениями самого себя.

Пример: volSmooth = imgaussfilt3(vol,sigma,'padding','circular');

Типы данных: single | double | int8 | int16 | int32 | int64 | uint8 | uint16 | uint32 | uint64 | logical | char | string

Область, в котором выполняется фильтрация, задаётся как одно из следующих значений.

Область фильтра Описание
'auto'Выполните свертку в пространственном или частотном диапазоне, основанной на внутренней эвристике.
'frequency'Выполните свертку в частотный диапазон.
'spatial'Выполните свертку в пространственной области.

Пример: volSmooth = imgaussfilt3(vol,sigma,'FilterDomain','frequency');

Типы данных: char | string

Выходные аргументы

свернуть все

Отфильтрованное изображение, возвращенное как числовой массив того же класса и размера, что и входное изображение.

Совет

  • Если изображение A содержит Infs или NaNs, затем поведение imgaussfilt3 для частотного диапазона фильтрация не определена. Это может произойти, если установить 'FilterDomain' параметр в 'frequency' или если установить значение 'auto' и imgaussfilt3 использует частотный диапазон фильтрацию. Чтобы ограничить распространение Infs и NaNs в выходе способом, подобным imfilter, рассмотрите установку 'FilterDomain' параметр в 'spatial'.

  • Если вы задаете 'FilterDomain' параметр в 'auto', затем imgaussfilt3 использует внутренний эвристический метод, чтобы определить, является ли пространственная или частотный диапазон фильтрация более быстрой. Эта эвристика зависит от машины и может варьироваться для различных строений. Для оптимальной эффективности попробуйте обеих опции, 'spatial' и 'frequency', чтобы определить оптимальную область фильтрации для вашего изображения и размера ядра.

  • Если вы не задаете 'Padding' параметр, затем imgaussfilt3 использует 'replicate' заполнение по умолчанию, которое отличается от используемого по умолчанию в imfilter.

Расширенные возможности

См. также

|

Введенный в R2015a