exponenta event banner

montage

Отобразите несколько системы координат изображения как прямоугольный монтаж

Описание

пример

montage(I) отображает все системы координат мультикадрового массива изображений I. По умолчанию montage строит изображения так, чтобы они примерно сформировали квадрат.

montage(imagelist) отображает монтаж изображений, заданных в массиве ячеек imagelist. Изображения могут быть разных типов и размеров.

пример

montage(filenames) отображает формат изображений с именами файлов, указанными в filenames.

пример

montage(imds) отображает график изображений, заданных в datastore изображений imds.

montage(___,map) обрабатывает все полутоновые и бинарные изображения (заданные с использованием любого из предыдущих синтаксисов) как индексированные изображения и отображает их с заданной цветовой картой map. Если вы задаете изображения с помощью имен файлов или image datastore, то map переопределяет любую внутреннюю цветовую карту, существующую в файлах изображений. montage не изменяет цветовую карту изображений RGB.

пример

montage(___,Name,Value) использует аргументы пары "имя-значение", чтобы настроить отображение монтажа изображения.

img = montage(___) возвращает указатель на один объект изображения, содержащий все отображаемые системы координат.

Примеры

свернуть все

Создайте мультикадровое изображение m на n на 4 из серии полутоновых изображений. Все изображения должны иметь одинаковый размер.

img1 = imread('AT3_1m4_01.tif');
img2 = imread('AT3_1m4_02.tif');
img3 = imread('AT3_1m4_03.tif');
img4 = imread('AT3_1m4_04.tif');
multi = cat(3,img1,img2,img3,img4);

Отобразите монтаж изображений в мультикадровом изображении.

montage(multi);

Figure contains an axes. The axes contains an object of type image.

Считайте в рабочую область несколько изображений разных типов и размеров.

imRGB = imread('peppers.png');
imGray = imread('coins.png');

Отобразите монтаж, содержащий все изображения.

figure
montage({imRGB, imGray, 'cameraman.tif'})

Figure contains an axes. The axes contains an object of type image.

Создайте монтаж из ряда изображений в файлах. Сделайте монтаж прямоугольником 2 на 5. Затем создайте второй монтаж, на этот раз используя параметр DisplayRange, чтобы подсветить структуры в изображении.

Отображение изображений как прямоугольного монтажа

Создайте строковые массивы, содержащий ряд имен файлов.

fileFolder = fullfile(matlabroot,'toolbox','images','imdata');
dirOutput = dir(fullfile(fileFolder,'AT3_1m4_*.tif'));
fileNames = string({dirOutput.name});

Отобразите изображения как монтаж. Задайте форму монтажа как прямоугольник 2 на 5.

montage(fileNames, 'Size', [2 5]);

Figure contains an axes. The axes contains an object of type image.

Настройте контрастность изображений в монтаже

На другой рисунке создайте тот же монтаж 2 на 5. В сложение задайте область значений отображения, чтобы настроить контрастность изображений в монтаже.

figure 
montage(fileNames, 'Size', [2 5],'DisplayRange', [75 200]);

Figure contains an axes. The axes contains an object of type image.

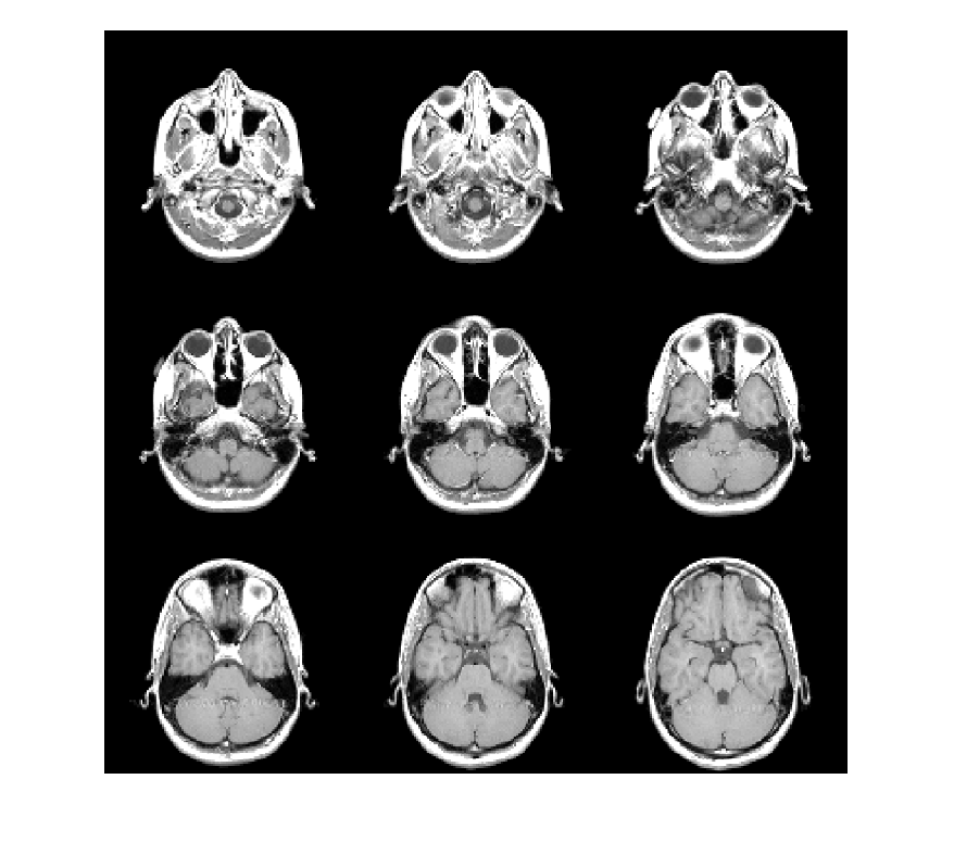
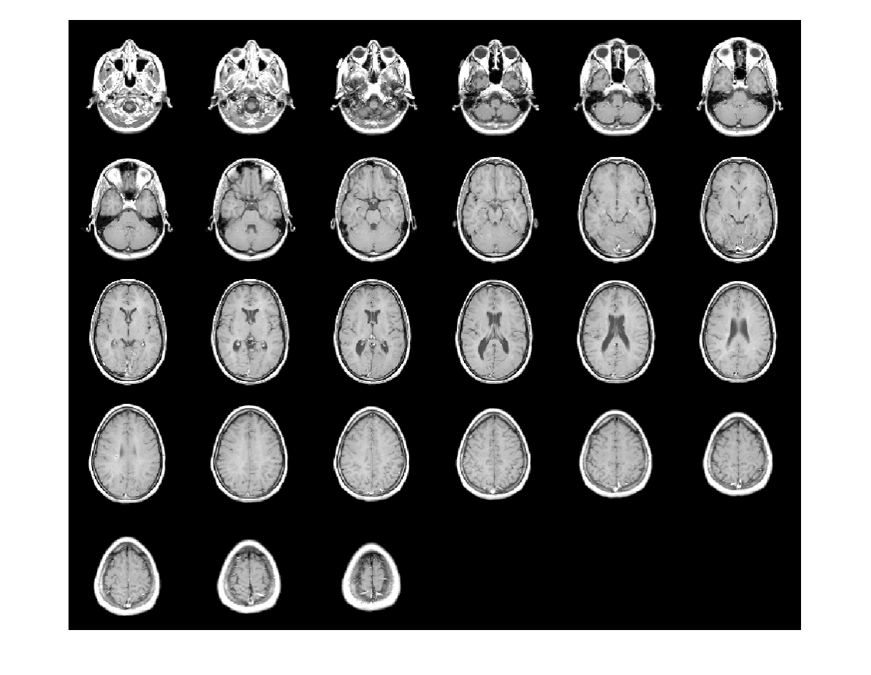
Просмотр всех изображений в наборе данных МРТ с помощью монтажа с настройками по умолчанию. В наборе 27 изображений.

load mri
montage(D, map)

Figure contains an axes. The axes contains an object of type image.

Создайте новый монтаж, содержащий только первые 9 изображений.

figure
montage(D, map, 'Indices', 1:9);

Figure contains an axes. The axes contains an object of type image.

Создайте ImageDatastore, содержащий серию из десяти изображений из папки выборок изображений Image Processing Toolbox™.

fileFolder = fullfile(matlabroot,'toolbox','images','imdata');
imds = imageDatastore(fullfile(fileFolder,'AT3*'));

Отображение содержимого ImageDatastore в виде монтажа.

montage(imds)

Figure contains an axes. The axes contains an object of type image.

Входные параметры

свернуть все

Мультикадровый массив изображений, заданный как один из следующих:

  • m -by n -by - k числовой массив, представляющий последовательность k двоичных или полутоновых изображений

  • m -by- n -by-1-by- k числовой массив, представляющий последовательность k двоичных или полутоновых изображений

  • m -by- n -by-3-by- k числовой массив, представляющий последовательность k изображений truecolor

Типы данных: single | double | int16 | uint8 | uint16 | logical

Набор изображений, заданный как массив ячеек из числовых матриц размера m -by- n или m -by- n -by-3.

Типы данных: single | double | int16 | uint8 | uint16 | logical | cell

Имена файлов, содержащих изображение, заданные как массив ячеек из векторов символов или вектор строк. Если файлы находятся не в текущей папке или в папке на MATLAB® затем укажите полное имя пути. См. imread Команда для получения дополнительной информации.

Типы данных: char | string | cell

Image datastore, заданный как ImageDatastore.

Карта цвета, заданная как числовая матрица c -на 3 со значениями в области значений [0, 1]. Каждая строка является трехэлементным триплетом RGB, который задает красный, зеленый и синий компоненты одного цвета цветовой карты.

Типы данных: double

Аргументы в виде пар имя-значение

Задайте необязательные разделенные разделенными запятой парами Name,Value аргументы. Name - имя аргумента и Value - соответствующее значение. Name должны находиться внутри кавычек. Можно задать несколько аргументов в виде пар имен и значений в любом порядке Name1,Value1,...,NameN,ValueN.

Пример: montage(D,map,'Indices',1:9)

Цвет фона, заданный как MATLAB ColorSpec. The montage функция заполняет все пустые пространства этим цветом, включая пространство, заданное BorderSize. Если вы задаете цвет фона, то montage функция отображает выход в виде изображения RGB.

Заполнение вокруг каждого миниатюрного изображения, в пикселях, задается в виде неотрицательного целого числа или вектора 1 на 2 неотрицательных целых чисел. montage заполняет изображение границами с цветом фона, BackgroundColor.

Типы данных: single | double | int8 | int16 | int32 | int64 | uint8 | uint16 | uint32 | uint64

Отображение области значений полутоновых изображений в массиве I, заданный как вектор 1 на 2 вида [LOW HIGH]. Все значения пикселей меньше или равны LOW отобразить как черный. Все значения пикселей, большие или равные HIGH отобразится как белый. Если вы задаете пустую матрицу ([]), затем montage использует минимальное и максимальное значения пикселей изображений.

Типы данных: single | double | int8 | int16 | int32 | int64 | uint8 | uint16 | uint32 | uint64

Системы координат для отображения в монтаже, заданные как массив положительных целых чисел. The montage функция интерпретирует значения как индексы в массив I или в массив ячеек filenames или imagelist.

По умолчанию montage отображает все системы координат или файлы изображений.

Пример: montage(I,'Indices',1:4) создать монтаж первых четырех систем координат в I

Пример: montage(I,'Indices',1:2:20) отображает каждую другую систему координат.

Типы данных: single | double | int8 | int16 | int32 | int64 | uint8 | uint16 | uint32 | uint64

Метод интерполяции, используемый при масштабировании изображения, заданный как разделенная разделенными запятой парами, состоящая из 'Interpolation' и одно из следующих значений.

ЗначениеОписание
'nearest'Интерполяция по ближайшему соседу (по умолчанию)
'bilinear'Билинейная интерполяция

Родительский элемент объекта изображения, созданный montage, заданный как объект осей. The montage функция изменяет размер изображения, чтобы соответствовать границам, доступным в родительских осях.

Количество строк и столбцов изображений, заданное как 2-элементный вектор вида [nrows ncols].

Если вы задаете NaN или Inf для определенной размерности, montage вычисляет значение размерности, чтобы отобразить все изображения в монтаже. Для примера, если 'Size' является [2 NaN], тогда монтаж будет иметь две строки и минимальное количество столбцов для отображения всех изображений. Когда существует несоответствие между 'Size' и количество заданных изображений ( систем координат), montage создает мозаичное изображение на основе 'Size'.

Типы данных: single | double

Размер каждой миниатюры, в пикселях, задается как 2-элементный вектор положительных целых чисел. Соотношение сторон каждого изображения сохраняется, и любое пустое пространство заполняется цветом фона BackgroundColor.

Если вы задаете пустой массив ([]), затем montage использует полный размер первого изображения в качестве размера миниатюры. Если вы задаете любой элемент следующим NaN или Inf, затем montage автоматически вычисляет соответствующее значение, чтобы сохранить соотношение сторон первого изображения.

Типы данных: single | double

Выходные аргументы

свернуть все

Монтаж изображения, возвращенный как объект Image.

Совет

  • Если вы задаете индексированное изображение, то montage преобразует его в RGB с помощью палитры, имеющейся в файле.

  • Если существует несоответствие типов данных между изображениями, то все изображения перерассчитываются, чтобы быть double использование im2double функция.

  • При вычислении количества изображений для горизонтального и вертикального отображения, montage рассматривает соотношение сторон изображений, так что отображаемый монтаж почти квадратный.

См. также

| | | |

Представлено до R2006a