exponenta event banner

analyze75read

Считайте данные изображения из файла изображения набора данных Analyze 7.5

Описание

пример

X = analyze75read(filename) читает данные изображения из файла изображения набора данных формата Analyze 7.5, заданного вектором символов filename. Функция возвращает данные изображения в X.

Analyze 7.5 является 3-D биомедицинским продуктом визуализации и анализа изображений, разработанным Биомедицинским Ресурсом Обработки изображений Клиники Мэйо. Набор данных Analyze 7.5 сделан из двух файлов, заголовочного файла и файла изображения. Файлы имеют то же имя с различными расширениями файла. Заголовочный файл имеет расширение файла .hdr и файл изображения имеет расширение файла .img.

Примечание

По умолчанию, analyze75read возвращает данные изображения в радиологической ориентации (LAS). Для получения дополнительной информации смотрите Данные изображения Чтения из Файла Analyze 7.5.

пример

X = analyze75read(info) читает данные изображения из файла изображения, заданного в структуре метаданных infoинформация должна быть допустимая структура метаданных, возвращенная analyze75info функция.

Примеры

свернуть все

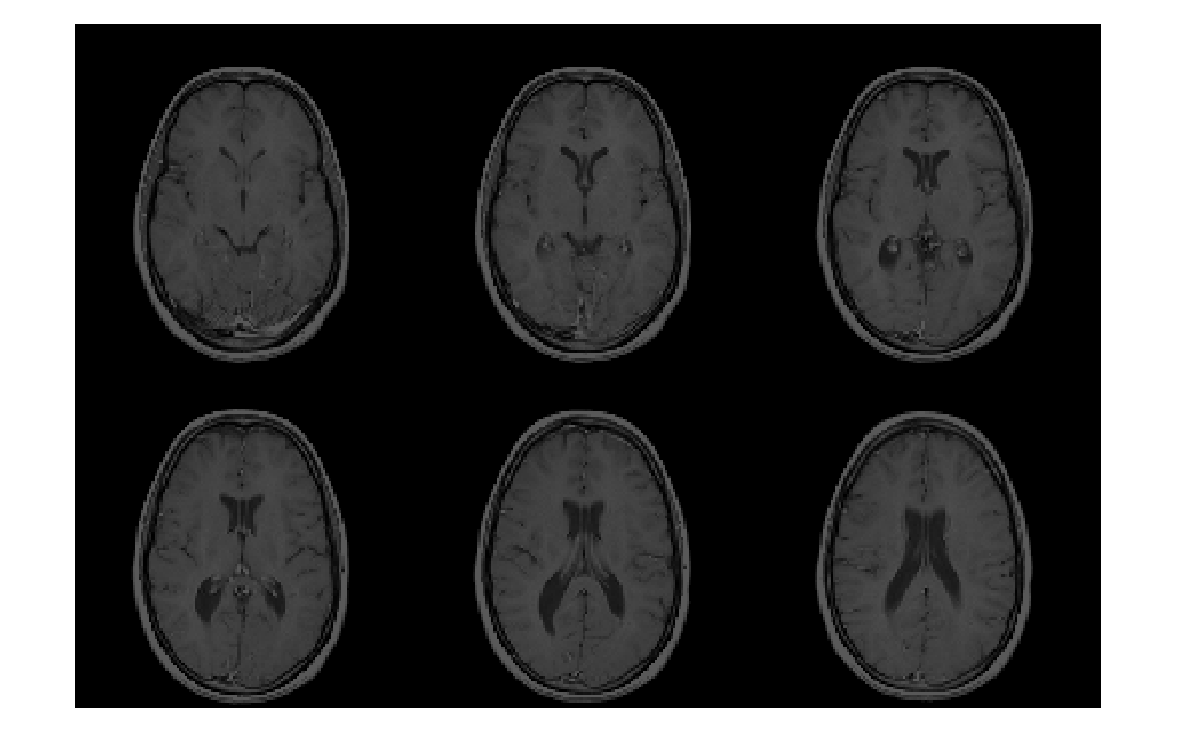
Считайте данные изображения из файла Analyze 7.5.

X = analyze75read('brainMRI');

Просмотрите данные. Во-первых, потому что формат Analyze 7.5 использует радиологическую ориентацию (LAS), инвертируйте данные для отображения правильного образа в MATLAB.

X = flip(X);

Затем измените данные, чтобы создать массив, который может быть отображен с помощью montage. Выберите системы координат 12 - 17.

Y = reshape(X(:,:,12:17),[size(X,1) size(X,2) 1 6]);
montage(Y);

Figure contains an axes object. The axes object contains an object of type image.

Считайте данные изображения из набора данных Analyze 7.5, с помощью структуры, возвращенной analyze75info задавать набор данных. Во-первых, используйте analyze75info создать информационную структуру.

info = analyze75info('brainMRI');

Вызовите analyze75read считать данные изображения из набора данных, задавая информационную структуру, возвращенную analyze75info.

X = analyze75read(info);

Входные параметры

свернуть все

Имя набора данных Analyze 7.5 в виде вектора символов. Вы не должны задавать расширение файла.

Пример: info = analyze75info('brainMRI');

Типы данных: char

Информация о наборе данных Analyze 7.5 в виде структуры, возвращенной analyze75info функция.

Типы данных: struct

Выходные аргументы

свернуть все

Данные изображения от набора данных Analyze 7.5, возвращенного как массив. X может быть logicaluint8int16int32единственный, или double. analyze75read использует тип данных для X это сопоставимо с типом данных, заданным в заголовочном файле набора данных. Комплекс и типы данных RGB не поддерживаются. Для одно системы координат, полутоновых изображений, X массив m на n.

Смотрите также

Представлено до R2006a