exponenta event banner

imgaussfilt3

3-D Гауссова фильтрация 3-D изображений

Описание

пример

B = imgaussfilt3(A) фильтрует 3-D изображение A с 3-D Гауссовым ядром сглаживания со стандартным отклонением 0,5, и возвращает отфильтрованное изображение в B.

B = imgaussfilt3(A,sigma) фильтрует 3-D изображение A с 3-D Гауссовым ядром сглаживания со стандартным отклонением, заданным sigma.

B = imgaussfilt3(___,Name,Value) аргументы пары "имя-значение" использования, чтобы управлять аспектами фильтрации.

Примеры

свернуть все

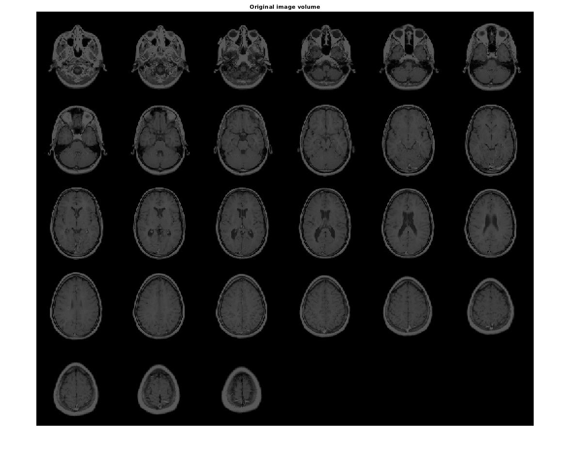
Загрузите данные MRI и отобразите их.

vol = load('mri');
figure
montage(vol.D)
title('Original image volume')

Figure contains an axes object. The axes object with title Original image volume contains an object of type image.

Сглаживайте изображение с 3-D Гауссовым фильтром.

siz = vol.siz;
vol = squeeze(vol.D);   
sigma = 2;
 
volSmooth = imgaussfilt3(vol, sigma);
  
figure
montage(reshape(volSmooth,siz(1),siz(2),1,siz(3)))
title('Gaussian filtered image volume')

Figure contains an axes object. The axes object with title Gaussian filtered image volume contains an object of type image.

Входные параметры

свернуть все

Отобразите, чтобы быть отфильтрованными в виде 3-D числового массива.

Типы данных: single | double | int8 | uint8 | int16 | uint16 | int32 | uint32

Стандартное отклонение Распределения Гаусса в виде положительного числа или вектора с 3 элементами из положительных чисел. Если sigma скаляр, затем imgaussfilt3 использует кубическое Гауссово ядро.

Типы данных: single | double | int8 | int16 | int32 | int64 | uint8 | uint16 | uint32 | uint64

Аргументы name-value

Задайте дополнительные разделенные запятой пары Name,Value аргументы. Name имя аргумента и Value соответствующее значение. Name должен появиться в кавычках. Вы можете задать несколько аргументов в виде пар имен и значений в любом порядке, например: Name1, Value1, ..., NameN, ValueN.

Пример: volSmooth = imgaussfilt3(vol,sigma,'padding','circular');

Размер Гауссова фильтра в виде скалярного или вектора с 3 элементами из положительных, нечетных, целых чисел. Если вы задаете скаляр, то imgaussfilt3 использует кубический фильтр. Размер фильтра по умолчанию 2*ceil (2*sigma)+1.

Пример: volSmooth = imgaussfilt3(vol,sigma,'FilterSize',5);

Типы данных: single | double | int8 | int16 | int32 | int64 | uint8 | uint16 | uint32 | uint64

Отобразите дополнение в виде одного из следующих.

ЗначениеОписание
числовой скалярЗаполните изображение элементами постоянного значения.
'circular'

Заполните круговым повторением элементов в размерности.

'replicate'

Клавиатура путем повторения элементов границы массива.

'symmetric'

Заполните изображение зеркальными отражениями себя.

Пример: volSmooth = imgaussfilt3(vol,sigma,'padding','circular');

Типы данных: single | double | int8 | int16 | int32 | int64 | uint8 | uint16 | uint32 | uint64 | logical | char | string

Область, в которой можно выполнить фильтрацию в виде одного из следующих значений.

Область фильтра Описание
'auto'Выполните свертку в пространственном или частотном диапазоне, на основе внутренней эвристики.
'frequency'Выполните свертку в частотном диапазоне.
'spatial'Выполните свертку в пространственной области.

Пример: volSmooth = imgaussfilt3(vol,sigma,'FilterDomain','frequency');

Типы данных: char | string

Выходные аргументы

свернуть все

Фильтрованное изображение, возвращенное как числовой массив того же класса и размера как входное изображение.

Советы

  • Если изображение A содержит Infs или NaNs, затем поведение imgaussfilt3 для частотного диапазона фильтрация не определена. Это может произойти, если вы устанавливаете 'FilterDomain' параметр к 'frequency' или если вы устанавливаете его на 'auto' и imgaussfilt3 фильтрация частотного диапазона использования. Ограничить распространение Infs и NaNs в выходе способом, похожим на imfilter, рассмотрите установку 'FilterDomain' параметр к 'spatial'.

  • Если вы устанавливаете 'FilterDomain' параметр к 'auto', затем imgaussfilt3 использует внутреннюю эвристику, чтобы определить или пространственный, или фильтрация частотного диапазона быстрее. Эта эвристика машинно-зависима и может варьироваться для различных настроек. Для оптимальной эффективности попробуйте обе опции, 'spatial' и 'frequency', определить лучшую область фильтрации для вашего изображения и размера ядра.

  • Если вы не задаете 'Padding' параметр, затем imgaussfilt3 использование 'replicate' дополнение по умолчанию, который отличается от значения по умолчанию, используемого imfilter.

Расширенные возможности

Смотрите также

|

Представленный в R2015a