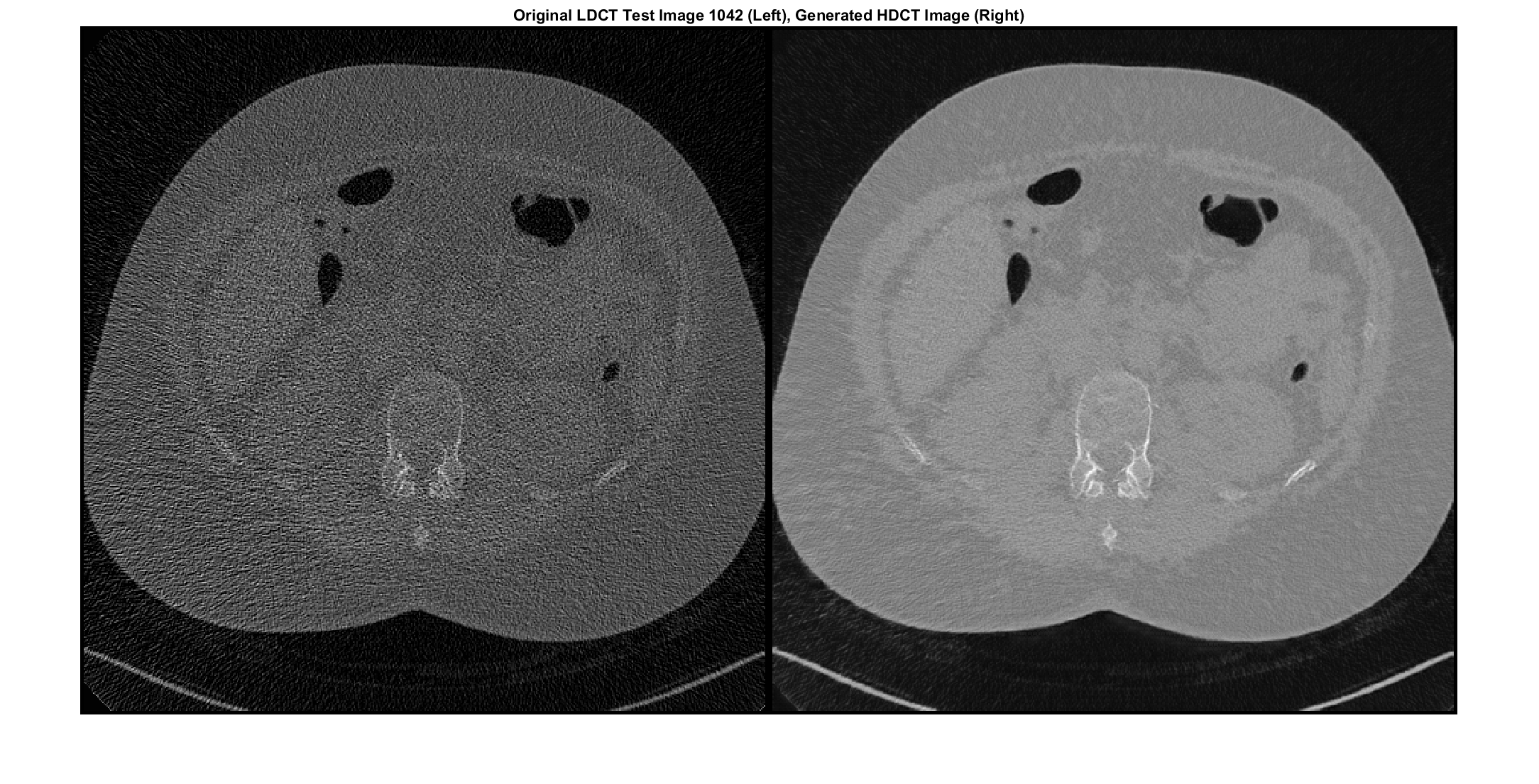
Глубокое обучение использует нейронные сети, чтобы изучить полезные представления функций непосредственно из данных. Например, можно использовать предварительно обученную нейронную сеть, чтобы идентифицировать и удалить артефакты как шум от изображений.

Начало работы с предварительной обработкой изображений и увеличением для глубокого обучения
Предварительно обработайте данные с детерминированными операциями, такими как нормализация или преобразование цветового пространства, или увеличьте обучающие данные с рандомизированными операциями, такими как случайная обрезка или колебание цвета.
Хранилища данных для глубокого обучения (Deep Learning Toolbox)
Узнать, как использовать хранилища данных в применении глубокого обучения.
Подготовьте Datastore к регрессии от изображения к изображению (Deep Learning Toolbox)
В этом примере показано, как подготовить datastore к обучению сеть регрессии от изображения к изображению использование transform и combine функции ImageDatastore.
Увеличьте изображения для рабочих процессов глубокого обучения Используя Image Processing Toolbox
В этом примере показано, как MATLAB® и Image Processing Toolbox™ могут выполнить общие виды увеличения изображений как часть рабочих процессов глубокого обучения.
Обучите и примените нейронные сети шумоподавления
Используйте предварительно обученную нейронную сеть, чтобы удалить Гауссов шум из полутонового изображения или обучить вашу собственную сеть с помощью предопределенных слоев.
Создайте модульные нейронные сети
Можно создать и настроить нейронные сети для глубокого обучения, которые следуют за модульным шаблоном с повторяющимися группами слоев, такими как U-Net и cycleGAN.
Начало работы с GANs для перевода от изображения к изображению
Сети GAN могут передать стили и характеристики от одного набора изображений к содержимому сцены других изображений.
Предварительно обученные глубокие нейронные сети (Deep Learning Toolbox)
Узнать, как загружать и использовать предварительно обученные сверточные нейронные сети для классификации, передачи обучения и извлечения признаков.
Список слоев глубокого обучения (Deep Learning Toolbox)
Узнайте все слои глубокого обучения в MATLAB®.
Глубокое обучение в MATLAB (Deep Learning Toolbox)
Узнайте возможности глубокого обучения в сверточных нейронных сетях использования MATLAB для классификации и регрессии, включая предварительно обученные сети и передачу обучения и обучение на графических процессорах, центральных процессорах, кластерах и облаках.
Семантическая Сегментация Используя глубокое обучение (Computer Vision Toolbox)
В этом примере показано, как обучить сеть семантической сегментации использование глубокого обучения.