Извлеките наклонный срез из 3-D объемных данных
извлекает 2D наклонный срез из 3-D объемных данных B = obliqueslice(V,point,normal)V. Срез извлечен со ссылкой на данную точку на объеме и векторе нормали. Режущая плоскость перпендикулярна вектору нормали и проходит через заданную точку.
Для получения информации о том, как срез извлечен относительно данной точки и нормального, смотрите Наклонное Разрезание.
задает опции с помощью одних или нескольких аргументов name-value в дополнение к входным параметрам в предыдущем синтаксисе.B = obliqueslice(___,Name,Value)
[ также возвращает 3-D Декартовы координаты извлеченного среза во входном объеме. Для получения информации о том, как значения интенсивности в этих 3-D координатах сопоставлены с 2D плоскостью, видят Значения Отображения от 3-D Координатного пространства до Плоскости изображения.B,x,y,z] = obliqueslice(___)
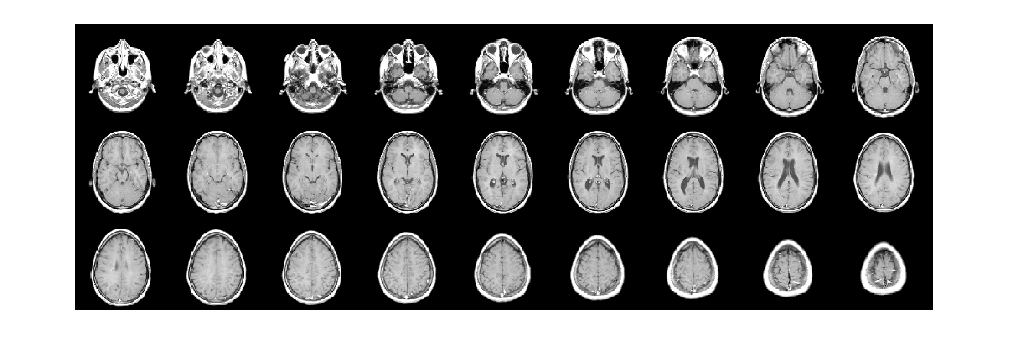
Загрузите 3-D объемный набор данных в рабочую область.
load mriУдалите одноэлементные размерности при помощи squeeze функция.
V = squeeze(D);
Отобразите горизонтальные срезы данных при помощи montage функция.
montage(V,map,'Size',[3 9]);
Задайте точку в объеме для среза, чтобы пройти.
point = [73 50 15.5];
Задайте вектор нормали в 3-D координатном пространстве.
normal = [0 15 20];
Извлеките срез из объемных данных. Срез перпендикулярен вектору нормали и проходит через заданную точку.
[B,x,y,z] = obliqueslice(V,point,normal);
Отобразите извлеченный срез в 3-D координатном пространстве.
figure surf(x,y,z,B,'EdgeColor','None','HandleVisibility','off'); grid on view([-38 12]) colormap(gray) xlabel('x-axis') ylabel('y-axis'); zlabel('z-axis'); title('Slice in 3-D Coordinate Space')
Постройте точку и вектор нормали.
hold on plot3(point(1),point(2),point(3),'or','MarkerFaceColor','r'); plot3(point(1)+[0 normal(1)],point(2)+[0 normal(2)],point(3)+[0 normal(3)], ... '-b','MarkerFaceColor','b'); hold off legend('Point in the volume','Normal vector')

Отобразите извлеченный срез в плоскости изображения.
figure
imshow(B,[])
title('Slice in Image Plane')
Загрузите 3-D объемный набор данных в рабочую область.
s = load(fullfile(toolboxdir('images'),'imdata','BrainMRILabeled','images','vol_001.mat')); V = s.vol;
Отобразите горизонтальные срезы данных при помощи montage функция.
montage(V,'Indices',12:118,'Size',[8 12],'DisplayRange',[]);

Задайте вектор нормали к плоскости в 3-D координатном пространстве.
normal = [20 0 10];
Извлеките несколько срезов вдоль направления вектора нормали с помощью for цикл. В каждой итерации:
Задайте точку, что срез должен пройти.
Извлеките срез, задав выходной размер к 'Full' и значение заливки для дополнения пикселей как 255. Извлеченные срезы перпендикулярны вектору нормали и проходят через заданную точку.
Отобразите извлеченные срезы.
sliceIdx = 10:5:180; figure for s = 1:length(sliceIdx) pt = [sliceIdx(s) 150 80]; [B,x,y,z] = obliqueslice(V,pt,normal,'OutputSize','Full','FillValues',255); Bslices(:,:,s) = B; % Display the slice in 3-D coordinate space subplot('Position',[0.11 0.36 0.38 0.5]) surf(x,y,z,B,'EdgeColor','None','HandleVisibility','off'); grid on view([-24 12]) colormap(gray) xlabel('x-axis') ylabel('y-axis'); zlabel('z-axis'); zlim([0 155]); ylim([0 250]); xlim([0 250]); title('Slice in 3-D Coordinate Space') % Plot the point and the normal vector. hold on plot3(pt(1),pt(2),pt(3),'or','MarkerFaceColor','r') plot3( ... pt(1)+[-normal(1) normal(1)], ... pt(2)+[-normal(2) normal(2)], ... pt(3)+[-normal(3) normal(3)], ... '-b','MarkerFaceColor','b') legend('Point in the volume','Normal vector','Position',[0.1 0.12 0.3 0.08]) hold off % Display the extracted slice. subplot('Position',[0.6 0.37 0.34 0.49]) imshow(B,[]) title('Slice in Image Plane') pause(0.5); end

Отобразите извлеченные фрагменты изображения при помощи montage функция.
figure montage(Bslices,'Size',[5 7],'DisplayRange',[]);

V — Введите объемВведите объем в виде 3-D числового или 3-D категориального массива.
Типы данных: single | double | int8 | int16 | int32 | uint8 | uint16 | uint32 | logical | categorical
point — Укажите в объемеУкажите в объеме в виде вектора-строки с 3 элементами из формы [px py pz].
Типы данных: single | double | int8 | int16 | int32 | int64 | uint8 | uint16 | uint32 | uint64
normal — Вектор нормалиВектор нормали в виде вектора-строки с 3 элементами из формы [a
b
c]. Вектор нормали является вектором, который перпендикулярен поверхности или плоскости.
Чтобы извлечь ортогональный срез, можно установить вектор нормали на одно из этих значений:
[1 0 0] — срез Извлечения в yz - плоскость.
[0 1 0] — срез Извлечения в xz - плоскость.
[0 0 1] — срез Извлечения в xy - плоскость.
Типы данных: single | double | int8 | int16 | int32 | int64 | uint8 | uint16 | uint32 | uint64
Задайте дополнительные разделенные запятой пары Name,Value аргументы. Name имя аргумента и Value соответствующее значение. Name должен появиться в кавычках. Вы можете задать несколько аргументов в виде пар имен и значений в любом порядке, например: Name1, Value1, ..., NameN, ValueN.
obliqueslice(V,point,normal,'OutputSize','Full')Method метод интерполяции'linear' | 'nearest'Метод интерполяции в виде разделенной запятой пары, состоящей из 'Method' и одно из этих значений:
'linear' — линейная интерполяция
'nearest' Интерполяция по ближайшему соседу
Если V является числовым, значения по умолчанию метода интерполяции к 'linear' но может также быть задан как 'nearest'. Если V является категориальным, затем методом интерполяции должен быть 'nearest'.
Типы данных: char | string
OuputSize — Размер выходного изображения'limit' (значение по умолчанию) | 'full'Размер выходного изображения в виде разделенной запятой пары, состоящей из 'OutputSize' и одно из этих значений:
'limit' — Размер выходного изображения является фактическим размером 2D среза относительно размерностей входного объема. Если извлеченная область среза не является квадратной или прямоугольной, функция автоматически заполняет извлеченную область среза дополнительными пикселями, чтобы дать к квадратному или прямоугольному изображению.
'full' — Размер выходного изображения не может быть равен фактическому размеру 2D среза. Размер выходного изображения установлен в максимальный размер среза, который может быть получен из входного объема относительно вектора нормали normal. Чтобы изменить размер изображения, граница извлеченного 2D среза дополнена дополнительными строками и столбцами.
Значение заливки для заполненных пикселей 0 по умолчанию. Можно использовать 'FillValues'аргумент пары "имя-значение", чтобы изменить значение.
Типы данных: char | string
FillValues — Заполните значение для заполненных пикселей (значение по умолчанию) | числовой скаляр | вектор символов | missingЗаполните значение для заполненных пикселей в виде разделенной запятой пары, состоящей из 'FillValues' и числовой скаляр, вектор символов или missing.
Когда V числовой массив, задать
0 для нулевого дополнения.
числовой скаляр для постоянного дополнения.
Когда V категориальный массив, задать
вектор символов, который обозначает категорию во входных данных. Чтобы знать категории, используйте categories функция.
missing, если категория во входных данных равна <undefined>.
Типы данных: single | double | int8 | int16 | int32 | int64 | uint8 | uint16 | uint32 | uint64 | char
B — Выведите 2D срезВыведите 2D срез, возвращенный как числовая или категориальная матрица. Тип данных выходного среза - то же самое как тип данных входного объема.
Типы данных: single | double | int8 | int16 | int32 | uint8 | uint16 | uint32 | logical | categorical
x — x - координаты выходного срезаx- выходного среза в 3-D объеме, возвращенном как числовая матрица размера то же самое как выходной срез, B.
Типы данных: single
y — y - координаты выходного срезаy- выходного среза в 3-D объеме, возвращенном как числовая матрица размера то же самое как выходной срез, B.
Типы данных: single
z — z - координаты выходного срезаz- выходного среза в 3-D объеме, возвращенном как числовая матрица размера то же самое как выходной срез, B.
Типы данных: single
Учитывая точку (px, py, pz) и вектор нормали (a, b, c), функция решает плоское уравнение a (x-px) +b (y-py) +c (z-pz) = 0

Точка (px, py, pz) находится в объемных данных. Режущая плоскость перпендикулярна вектору нормали и проходит через данную точку.
Порядок, в котором координаты извлеченного среза в трехмерном пространстве сопоставлен с 2D плоскостью, зависит от своего наклонного угла относительно горизонтальных и вертикальных плоскостей.
obliqueslice функция возвращает выходные матрицы xY, и z это содержит x, y, координаты z точек в 3-D координатном пространстве, которые формируют фрагмент изображения. obliqueslice функция интерполирует значения интенсивности в этих точках и сопоставляет его с 2D плоскостью. Первое значение в выходных матрицах, x (1,1), y (1,1), z (1,1) задает 3-D координату точки, которая сопоставляет как верхний левый пиксель, (1, 1) в плоскости изображения. Начиная с этой точки, 3-D координаты, которые составляют фрагмент изображения наряду со связанными значениями интенсивности, читаются в слева направо, порядок скана от начала до конца. Эти значения интенсивности заполняют 2D плоскость изображения в том же самом слева направо, порядке скана от начала до конца.
Предположим, что V является входом, объемными данными и B является выход 2D изображение, затем B (i, j) = V (a, b, c).
Где, a = x (i, j), b = y (i, j), и c = z (i, j).

У вас есть модифицированная версия этого примера. Вы хотите открыть этот пример со своими редактированиями?
1. Если смысл перевода понятен, то лучше оставьте как есть и не придирайтесь к словам, синонимам и тому подобному. О вкусах не спорим.
2. Не дополняйте перевод комментариями “от себя”. В исправлении не должно появляться дополнительных смыслов и комментариев, отсутствующих в оригинале. Такие правки не получится интегрировать в алгоритме автоматического перевода.
3. Сохраняйте структуру оригинального текста - например, не разбивайте одно предложение на два.
4. Не имеет смысла однотипное исправление перевода какого-то термина во всех предложениях. Исправляйте только в одном месте. Когда Вашу правку одобрят, это исправление будет алгоритмически распространено и на другие части документации.
5. По иным вопросам, например если надо исправить заблокированное для перевода слово, обратитесь к редакторам через форму технической поддержки.